뇌전증, 뇌 속에서 벌어지는 불협화음
뇌전증은 뇌 기능의 일시적인 이상으로 발생하는 질환입니다. 뇌는 끊임없이 전기 신호를 주고받으며 우리 몸의 모든 기능을 조절하는데, 뇌전증 환자의 경우 이러한 전기 신호에 혼란이 생겨 발작이 반복적으로 나타납니다. 뇌전증은 다양한 원인에 의해 발생할 수 있으며, 뇌졸중, 외상성 뇌 손상, 뇌종양 등이 그 원인이 될 수 있습니다. 또한, 유전적인 요인도 뇌전증 발병에 영향을 미칠 수 있습니다. 뇌전증은 개인의 삶의 질에 큰 영향을 미칠 수 있으므로, 정확한 진단과 적절한 치료가 매우 중요합니다. 뇌전증은 생각보다 흔한 질환으로, 전 세계 인구의 약 1%가 뇌전증을 겪는 것으로 알려져 있습니다. 뇌전증에 대한 올바른 이해는 환자와 가족들이 뇌전증과 함께 건강한 삶을 살아가는 데 필수적입니다.

뇌전증의 다양한 얼굴: 증상 살펴보기
뇌전증의 증상은 발작의 종류에 따라 매우 다양하게 나타납니다. 발작은 크게 전신 발작과 국소 발작으로 나눌 수 있습니다. 전신 발작은 뇌 전체에 걸쳐 발생하는 발작으로, 의식 소실과 함께 몸 전체가 경직되거나 떨리는 증상이 나타납니다. 반면, 국소 발작은 뇌의 특정 부위에서 시작되는 발작으로, 발작이 일어나는 뇌의 부위에 따라 다양한 증상이 나타납니다. 예를 들어, 운동 영역에서 발작이 발생하면 특정 부위의 근육이 떨리거나 경련을 일으킬 수 있으며, 감각 영역에서 발작이 발생하면 이상 감각이나 시각, 청각, 후각 등의 변화를 경험할 수 있습니다. 뇌전증 발작의 증상은 개인에 따라 다르게 나타나며, 같은 환자라도 발작의 종류나 강도가 달라질 수 있습니다. 뇌전증 발작은 예고 없이 발생할 수 있으며, 발작 중에는 환자가 위험한 상황에 처할 수 있으므로, 주변 사람들의 적절한 대처가 중요합니다.
발작은 뇌전증의 가장 흔한 증상입니다. 발작의 종류는 매우 다양하며, 각기 다른 증상을 동반합니다. 뇌전증 발작은 갑작스럽게 발생하며, 발작의 지속 시간과 강도 또한 환자마다 다릅니다. 발작 외에도 뇌전증 환자는 기억력 감퇴, 우울증, 불안, 인지 기능 저하 등 다양한 증상을 경험할 수 있습니다. 이러한 증상들은 뇌전증 환자의 삶의 질을 저하시키는 요인으로 작용하며, 적극적인 치료와 관리가 필요합니다.

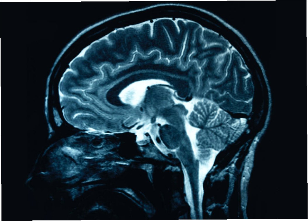
뇌전증, 진단과 치료의 여정
뇌전증은 정확한 진단을 통해 적절한 치료 계획을 수립하는 것이 중요합니다. 뇌전증 진단에는 환자의 병력 청취와 신경학적 검사, 뇌파 검사(EEG), 뇌 MRI 등의 검사가 활용됩니다. 뇌파 검사는 뇌의 전기적 활동을 기록하여 발작의 원인을 파악하는 데 도움을 주며, 뇌 MRI는 뇌의 구조적 이상을 확인하는 데 사용됩니다. 뇌전증의 치료는 약물 치료가 기본이며, 발작의 종류와 빈도, 환자의 상태 등을 고려하여 적절한 약물을 선택합니다. 약물 치료 외에도, 약물 치료에 반응하지 않는 환자에게는 수술적 치료나 미주 신경 자극술과 같은 다른 치료법을 고려할 수 있습니다. 뇌전증 치료는 장기간에 걸쳐 이루어지는 경우가 많으며, 꾸준한 치료와 관리가 필요합니다. 뇌전증 환자는 정기적인 진료를 통해 질병의 경과를 관찰하고, 부작용을 관리하며, 필요에 따라 치료법을 변경해야 합니다.

뇌전증, 함께 이겨낼 수 있습니다
뇌전증은 뇌 기능의 이상으로 발생하는 만성 질환이지만, 적절한 치료와 관리를 통해 발작을 조절하고 건강한 삶을 유지할 수 있습니다. 뇌전증에 대한 정확한 이해와 적극적인 대처는 뇌전증 환자와 가족 모두에게 희망을 줄 수 있습니다. 뇌전증 환자는 의료진과의 긴밀한 협력을 통해 자신에게 맞는 치료법을 찾고, 긍정적인 마음으로 치료에 임하는 것이 중요합니다. 뇌전증은 결코 혼자 이겨내야 하는 질병이 아니며, 주변 사람들의 지지와 이해, 그리고 사회적 지원 또한 뇌전증 환자에게 큰 힘이 됩니다. 뇌전증에 대한 사회적 인식 개선을 위해 노력하고, 뇌전증 환자들이 사회의 일원으로서 당당하게 살아갈 수 있도록 돕는 것이 우리의 역할입니다.

자주 묻는 질문들
Q.뇌전증 발작 시 응급 처치는 어떻게 해야 하나요?
A.뇌전증 발작 시 가장 중요한 것은 환자의 안전을 확보하는 것입니다. 환자를 안전한 장소로 옮기고, 주변의 위험한 물건을 치워 부상을 예방합니다. 환자의 옷을 느슨하게 해주고, 숨쉬기 편하게 해줍니다. 발작 중에는 환자의 입에 아무것도 넣지 않도록 주의합니다. 발작이 5분 이상 지속되거나, 발작 후 의식이 돌아오지 않거나, 추가 발작이 발생할 경우 즉시 119에 연락하여 응급 처치를 받아야 합니다.
Q.뇌전증은 완치가 가능한가요?
A.뇌전증은 완치가 어려운 질환이지만, 적절한 치료를 통해 발작을 조절하고 정상적인 생활을 유지할 수 있습니다. 뇌전증 환자의 약 70~80%는 약물 치료를 통해 발작을 효과적으로 조절할 수 있으며, 일부 환자는 수술이나 다른 치료법을 통해 완치를 기대할 수도 있습니다. 뇌전증은 완치보다는 관리하는 질환이라는 인식이 중요하며, 꾸준한 치료와 관리를 통해 삶의 질을 향상시키는 것이 목표입니다.
Q.뇌전증 환자가 일상생활에서 주의해야 할 점은 무엇인가요?
A.뇌전증 환자는 발작을 유발할 수 있는 요인을 피하고, 안전한 환경을 유지하는 것이 중요합니다. 충분한 수면을 취하고, 스트레스를 관리하며, 규칙적인 식습관을 유지합니다. 술과 과도한 카페인 섭취를 피하고, 정기적으로 병원을 방문하여 진료를 받습니다. 운전, 수영 등 위험한 활동을 할 때는 의료진과 상의하여 안전 수칙을 준수해야 합니다. 뇌전증 환자는 긍정적인 마음과 적극적인 자세로 일상생활을 유지하며, 주변 사람들의 지지와 이해를 통해 사회생활에 참여할 수 있습니다.

'IT 인터넷' 카테고리의 다른 글
| 카카오 프로젝트, 성공적인 결과를 위한 핵심 분석 전략 (0) | 2025.12.09 |
|---|---|
| 감기와 축농증, 당신의 코 건강을 위협하는 두 얼굴: 명확한 비교 분석 (0) | 2025.12.09 |
| 반도체 D램, 기억을 디자인하다: 역할과 중요성 완벽 해부 (0) | 2025.12.09 |
| 갤럭시 S25, 당신의 일상을 혁신할 AI의 마법: 놀라운 변화를 만나보세요! (0) | 2025.12.09 |
| 삼성전자 센서 사업, 새로운 리더십과 함께 열어갈 미래 (0) | 2025.12.09 |