창고 사고, 단순 먼지 흡입이 폐를 망가뜨리다
미국에 거주하는 60대 남성이 창고 정리 중 무거운 장비에 깔리는 사고를 당했습니다. 당시 흡입한 미세먼지가 5년 후 폐 전체를 적출하는 심각한 결과로 이어진 안타까운 사연이 전해졌습니다. 척 사이먼스 씨는 2014년 부친의 창고에서 물건을 정리하던 중, 선반 위 대패를 옮기던 부친의 실수로 무거운 장비가 얼굴로 떨어지는 사고를 겪었습니다. 이 사고로 그는 10일간 의식을 잃었고 광대뼈 함몰, 턱뼈 골절 등 큰 부상을 입었습니다. 그는 당시를 회상하며 “얼굴이 권투 선수와 수십 라운드를 싸운 것처럼 망가졌다”고 말했습니다. 복원 수술 후 일상으로 복귀했지만, 그의 인생을 뒤흔드는 문제는 5년 뒤에 찾아왔습니다.

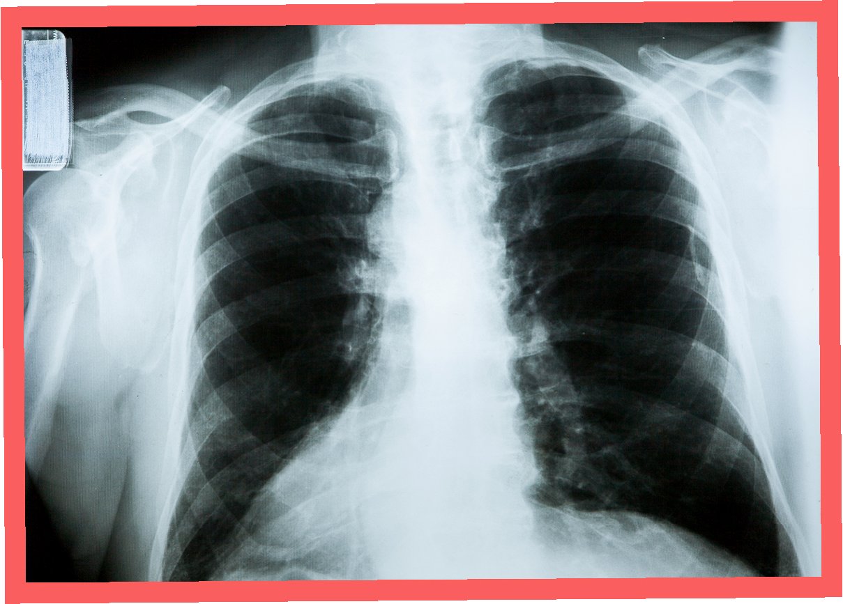
5년 후 찾아온 고열, 폐를 막은 딱딱한 먼지의 정체
2019년부터 시작된 원인 불명의 밤마다 반복되는 고열로 병원을 찾은 사이먼스 씨는 CT 검사 결과 충격적인 사실을 마주했습니다. 사고 당시 폐 깊숙이 들어간 먼지 파편이 체외로 배출되지 못한 채 딱딱하게 굳어 왼쪽 폐 기관지를 완전히 막고 있었던 것입니다. 그는 “기계에 깔려 움직일 수 없을 때 먼지를 들이마셨는데, 그게 깊이 들어가 굳어버렸다”고 당시 상황을 설명했습니다. 의료진은 외상으로 인해 체내에 남은 이물질이 장기간에 걸쳐 칼슘으로 둘러싸여 석회화가 진행된 것으로 판단했습니다. 정밀 검사 결과, 좌측 폐는 5년간의 감염으로 기능을 완전히 상실한 상태였습니다.

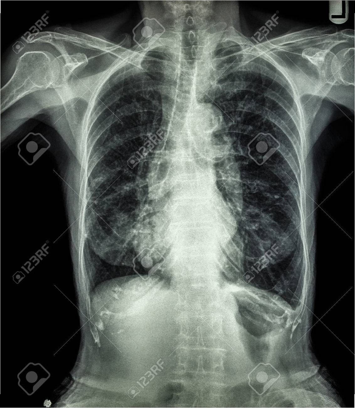
폐 전체 적출, 작은 먼지가 바꾼 인생
의료진은 처음에는 석회화된 부분만 제거하려 했으나, 손상 범위가 너무 넓어 폐 전체를 적출해야 한다는 결론에 이르렀습니다. 사이먼스 씨는 결국 왼쪽 폐를 떼어내는 수술을 받았습니다. 그는 “작은 먼지 한 톨이 내 인생을 이렇게 바꿀 줄 몰랐다”며 “수술 동의서에 서명하던 순간이 인생에서 가장 무거웠다”고 심경을 토로했습니다. 이처럼 외상으로 체내에 남은 이물질은 장기간에 걸쳐 석회화되며 염증이나 조직 괴사를 일으킬 수 있습니다. 특히 폐 조직은 통증 수용체가 적어 초기 증상 인지가 어렵고, 뒤늦게 발견되는 경우가 많아 주의가 필요합니다.

폐 건강, '먼지'라고 무시하면 안 되는 이유
전문가들은 외상으로 인해 유리 조각이나 금속 파편 같은 이물질이 체내에 남을 경우, 장기간에 걸쳐 석회화가 진행되면서 염증이나 조직 괴사를 일으킬 수 있다고 경고합니다. 특히 폐 조직에는 통증 수용체가 거의 없어 초기에는 증상을 느끼기 어렵다가 뒤늦게 검진을 통해 발견되는 경우가 많습니다. 염증이 심해져 늑막이나 기관지를 자극하면 발열, 기침, 호흡곤란 등의 증상이 나타날 수 있으므로, 폐 건강에 대한 각별한 주의가 요구됩니다. 작은 이물질이라도 방치하면 심각한 결과를 초래할 수 있음을 사이먼스 씨의 사례는 명확히 보여줍니다.

핵심 요약: 먼지 한 톨이 폐를 삼킨 비극
창고 사고로 흡입한 미세먼지가 5년 후 폐 기관지를 막아 왼쪽 폐 전체를 적출하게 된 60대 남성의 안타까운 사연입니다. 작은 이물질이라도 폐에 남을 경우 심각한 석회화와 염증을 유발할 수 있으며, 폐는 초기 증상 인지가 어려워 더욱 주의가 필요합니다.

궁금해하실 만한 점들
Q.사고 당시 흡입한 먼지가 폐에 남는 것이 흔한가요?
A.일반적으로는 호흡기를 통해 들어온 이물질이 기침이나 섬모 운동을 통해 배출됩니다. 하지만 외상으로 인해 깊숙이 들어가거나, 특정 환경에서 흡입된 경우 폐에 남아 석회화될 가능성이 있습니다.
Q.폐에 이물질이 있을 경우 어떤 증상이 나타나나요?
A.초기에는 통증 수용체가 적어 증상이 없을 수 있습니다. 하지만 염증이 진행되면 발열, 기침, 호흡곤란, 흉통 등이 나타날 수 있습니다.
Q.폐 건강을 위해 일상에서 주의할 점은 무엇인가요?
A.미세먼지가 심한 날에는 마스크 착용, 실내 공기 질 관리, 금연 등이 중요합니다. 또한, 호흡기 관련 증상이 지속되면 조기에 병원을 방문하여 정확한 진단과 치료를 받는 것이 좋습니다.

'이슈' 카테고리의 다른 글
| 미 하원 쿠팡 조사, 한미 관계 뇌관 되나? 트럼프 조치 촉발 가능성 경고 (0) | 2026.02.11 |
|---|---|
| 당청 갈등 폭발: 특검 추천 논란 속 합당 추진 제동 걸리나 (0) | 2026.02.11 |
| 생후 2개월 아기 중상 입힌 친부, 징역 4년…'울음'이 부른 비극 (0) | 2026.02.11 |
| 매일 땅콩버터 섭취, 혈당 관리에 놀라운 변화를 가져온 비밀은? (0) | 2026.02.10 |
| 쿠팡 개인정보 1.5억 건 유출, 단순 관리 부실이 원인…충격적인 조사 결과 (0) | 2026.02.10 |